PH Gündem Yıl: 2022 Sayı: 1


Pulmoner Vasküler ve Eriþkin Doðumsal Kalp Hastalýklarý Çalýþma Grubu
Yönetim Kurulu


Baþkan:
Prof. Dr. Bahri Akdeniz

Y.K. adýna Koordinatör:
Dr. Dursun Aras

Y.K. adýna Koordinatör:
Dr. Bülent Mutlu

Üyeler
Halil Ataþ
Mehmet Kaplan
Ergün Barýþ Kaya
Murat Meriç
Gülten Aydoðdu Taçoy




1--41--4

PH Gündem - Olgu (Dr. Sena Sert Şekerci)Olgu

Dr. Sena Sert Åžekerci

Olgu

41 yaÅŸ, erkek hasta son 6 aydır eforla artan dispne, çabuk yorulma (WHO Sınıf II) ÅŸikayetleriyle ayakta hasta polikliniÄŸine baÅŸvuruyor. Öyküsünde 2006 yılında (hasta 28 yaşında iken) sinüs venosus atriyal septal defect (ASD) (4*3 cm) +   parsiyel pulmoner venöz dönüş anomalisi nedeniyle operasyon (patent foramen ovale’ye primer sütür + posterior mitral leaflete sütür anuloplasti) geçirdiÄŸi bulunmakta. Post-op dönemde atriyal fibrilasyon (AF) öyküsü var. D/C kardiyoversiyon ile ritm kontrolü saÄŸlanmış fakat uzun vadede kalıcı AF ritmi yerleÅŸmiÅŸ. Hastanın takipli olduÄŸu bir merkez yok. Almakta olduÄŸu tedavi apiksaban 5 mg 2*1, bisoprolol 5 mg 2*1. Farklı merkezlerce yapılan 2 farklı TEE raporunda; İAS intakt – saÄŸ boÅŸluklar dilate, orta- ileri TY – pulmoner hipertansiyon (PHT) olarak raporlanmış. Hasta polikliniÄŸimize rezidü pulmoner arteryel hipertansiyon (PAH) ön tanısıyla refere ediliyor. Fizik muayenesinde kalp hızı: 96/dk disritmik, arteriyel kan basıncı 130/70 mmHg, mid-sternal insizyon skarı mevcut, juguler venöz distansiyon yok. Triküspit odakta 3/6 sistolik üfürüm ve sert P2 mevcut. Ral, ronküs, pretibial ödem yok. KaraciÄŸer palpable (1-2 cm). 6 dk yürüme mesafesi: 450 m. Laboratuarında Pro- BNP: 94 pg / ml, diÄŸer biyokimya parametreleri normal sınırlarda. Elektrokardiyogafisi: 98/dk AF, saÄŸ dal bloÄŸu ve saÄŸ ventrikül hipertrofisi mevcut (Resim-1).

Resim-1:

Yapılan transtorasik ekokardiyografisinde; parasternal uzun aks görüntülemede posterior mitral leaflette sütur anuloplastiye baÄŸlı hareket kısıtlılığı, dilate sol atrium görüntülenmekte olup kısa aks görüntülerde sistolde daha belirgin olmak üzere basınç ve volüm yükünü temsil eden “D-shaped” görünüm mevcut. Posterior leafletteki anuloplastiye baÄŸlı hafif mitral darlık fizyolojisi mevcut. Pulmoner arter çapı 38 mm ve dilate. Akselerasyon zamanı kısalmış olarak izlendi (Resim-2).

Resim-2:

Sağ kalp boyut ve fonksiyonlarını değerlendirdiğimizde sağ ventrikül çaplarının oldukça genişlemiş olduğu (60*50*79 mm). Sağ ventrikül fonksiyonlarını temsil eden TAPSE ve RVS normal sınırlarda idi. Sağ ventrikül strain değeri ise -%18.2 olarak normalin (-%20) bir miktar altında olduğu tespit edildi (Resim-3).

Resim-3

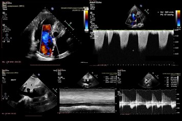
Orta- ileri triküspit yetmezlik jeti üzerinden hesaplanan pulmoner arter basıncı inspiratuar kollapsı kaybolmuş ve dilate inferior vena cava göz önünde bulundurulduğunda artmış sağ atriyum basıncı eklendiğinde 60 mmHg olarak hesaplandı (Resim-4).

 Resim-4:

Çeşitli açılardan yapmış olduğumuz değerlendirme sonucu ASD yamasının olduğu bölgeden soldan sağa yönelimli jet akım izlendi (Resim-5). Qp/Qs 2,2 olarak hesaplanan hastada rezidu defekt değerlendirmesi açısından transözefagial ekokardiyografi (TEE) planlandı.

Resim-5:

Yapılan TEE değerlendirmede; soldan sağa tek yönlü geçiş gösteren inferior tip sinus venosus ASD görüntülendi. Pulmoner venlerin değerlendirilmesinde ise sol pulmoner venler ve sağ üst pulmoner venin sol atriyuma döküldüğü gözlemlenirken sağ alt pulmoner ven gösterilemedi (Resim-6).

Resim-6:

Rezidu defekt varlığında parsiyel pulmoner venoz dönüş anomalisi eÅŸliÄŸini sorgulamak amacıyla ileri tetkik olarak kardiyak bilgisayarlı tomografi istendi. Görüntülemede; Resim-7’de A sekmesinde gösterilen kesitlerde saÄŸ alt pulmoner venin IVC’ye drene olduÄŸunu görebilmekteyiz. B sekmesinde ise okla iÅŸaretlenen bölgede IVC tip rezidü ASD’nin sol atriuyuma açılış yeri iÅŸaret edilmektedir. C ve D sekmelerinde ise saÄŸ üst ve sol üst-alt pulmoner venlerin normal biçimde sol atriyuma drenajı gösterilmiÅŸtir.

Resim-7:

Ardından hastaya saÄŸ kalp kateterizasyonu yapıldı. Yapılan oksimetrik deÄŸerlendirme ile SVC’den baÅŸlayarak saturasyonların SVC’de %65,3 saÄŸ atriyum üst %84, orta %85, alt %86, IVC %85 olduÄŸu gözlendi. SaÄŸ atriyum basıncı 18 mmHg sol atriyum basıncı 20 mmHg. Pulmoner kapiller tıkama basıncı 22 mmHg, sol ventrikül diyastol sonu basıncı ise 18 mmHg olarak ölçüldü. Pulmoner arter basıncı 54/35, ortalaması 41 mmHg idi. Oksimetrik çalışma ve ölçülen basınçlarla yapılan hesaplamalar sonucu Qp/Qs: 2,32 ÅŸant yönü soldan saÄŸa olarak raporlandı. Post-kapiller yatakta basınç artışı olduÄŸu gözlemlendi. Pulmoner vasküler rezistans (PVR) ise 2 Wood Ünitesi olarak hesaplandı (Resim-8).

Resim-8:

Pulmoner hipertansiyon konseyinde PVR operabilite sınırlarında olan, soldan saÄŸa tek yönlü ÅŸantı bulunan, Qp/Qs ≥ 1,5, sistolik pulmoner basınç sistemik basıncın %50’sinden az ve PVR SVR‘nin 1/3’ünden daha küçük olan hastanın yeniden cerrahi açısından uygun olabileceÄŸi düşünüldü. Fakat post-kapiller basıncın yüksek olması nedeniyle uygun diüretik tedavi sonrası fenestre kapama açısından deÄŸerlendirilmesi üzere kontrol kalp kateterizasyonu planlanarak tedavisi düzenlendi.

Sonuç: Erişkin yaşamda karşılaşılan konjenital vakalarda operasyon öyküsü olsa dahi rezidü defekt vb. devam eden şant varlığı açısından dikkatli bir inceleme yapılmalı, rezidü PAH tanısı konulmadan önce gerekli durumlarda farklı görüntüleme tekniklerinden faydalanarak hasta irdelenmeli, nihayi tanıya öyle ulaşılmalıdır. Erişkin hastalarda konjenital defektin yarattığı hemodinamik değişikliğin üzerine zaman içerisinde post-kapiller yatakta basınç artışını tetikleyecek sol kalp hastalıklarının eklenmesi hasta ile ilgili verilecek kararda göz ardı edilmemeli, defektin kapatılması kararında iyice irdelenmelidir.



1--4

 2025 © Bu sitenin tüm haklary Türk Kardiyoloji Derne?ine aittir.