PH Gündem Yıl: 2022 Sayı: 2


Pulmoner Vasküler ve Eriþkin Doðumsal Kalp Hastalýklarý Çalýþma Grubu
Yönetim Kurulu


Baþkan:
Prof. Dr. Bahri Akdeniz

Y.K. adýna Koordinatör:
Dr. Dursun Aras

Y.K. adýna Koordinatör:
Dr. Bülent Mutlu

Üyeler
Halil Ataþ
Mehmet Kaplan
Ergün Barýþ Kaya
Murat Meriç
Gülten Aydoðdu Taçoy

Katkıda Bulunanlar:
Dr. Pelin Ayyıldız
Dr. Ümit Bulut
Dr. Alper Güzeltaş
Dr. Serkan Kahraman
Dr. Begüm Uygur
Dr. Mustafa Yıldız
Dr. Kadriye Memiç Sancar




2--52--5

PH Gündem - Olgu Sunumu (Dr. Begüm Uygur, Dr. Kadriye Memiç Sancar, Dr. Serkan Kahraman, Dr. Ümit Bulut, Dr. Mustafa Yıldız)Olgu Sunumu

Dr. Begüm Uygur, Dr. Kadriye Memiç Sancar, Dr. Serkan Kahraman, Dr. Ümit Bulut, Dr. Mustafa Yıldız

SBÜ Mehmet Akif Ersoy Göğüs Kalp ve Damar Cerrahici Eğitim ve Araştırma Hastanesi
Kardiyoloji KliniÄŸi

Bilinen hastalık öyküsü olmayan 30 yaşında kadın hasta son üç aydır artan nefes darlığı, bacaklarda ÅŸiÅŸlik ve birkaç kez olan bayılma ÅŸikayetlerinin o gün tekrarlaması üzerine acil servisimize baÅŸvurdu. Sorunsuz iki canlı doÄŸum öyküsü mevcut olan hastanın fonksiyonel sınıfı IV olup, fizik muayenesinde bilateral periferik ödem saptandı. EKG sinus ritminde ve hızı 84 atım/dk. P-pulmonale dalgaları, yaygın ST depresyonu ve bifazik T dalgaları dikkat çekmekteydi (Åžekil 1.). Acil ÅŸartlarda yapılan yatak başı ekokardiyografik incelemede saÄŸ kalp boÅŸlukları dilate saptadı ve ileri triküspit yetersizliÄŸi (TY) üzerinden alınan tahmini sistolik pulmoner arter basıncı (sPAP): 80 mmHg olarak hesaplandı. Hastanın ÅŸiddetlenen nefes darlığı tariflemesi üzerine akut pulmoner emboli ön tanısı ile hastaya pulmoner bilgisayarlı tomografi anjiyografi (PBTA) planlandı. PBTA’da pulmoner emboli izlenmeyen hastada NT-proBNP: 1665 pg/ml saptanması üzerine hasta ileri tetkik ve tedavi amacıyla interne edildi.
Åžekil 1.

Hastanın yapılan detaylı ekosunda sol kalp boyutları ve fonksiyonları normal olarak izlendi, sol taraflı kapak patolojisi saptanmadı. Parasternal kısa aks görüntüde artmış basınç yükünü gösteren sistolik ‘D shaped’ septum izlendi. Pulmoner arter çapı 26 mm olup, artmış ölçüldü. SaÄŸ ventrikül çıkım yolu akselerasyon süresi 42 msn idi ve mid sistolik çentiklenme izlendi (Åžekil 2.).

Åžekil 2.

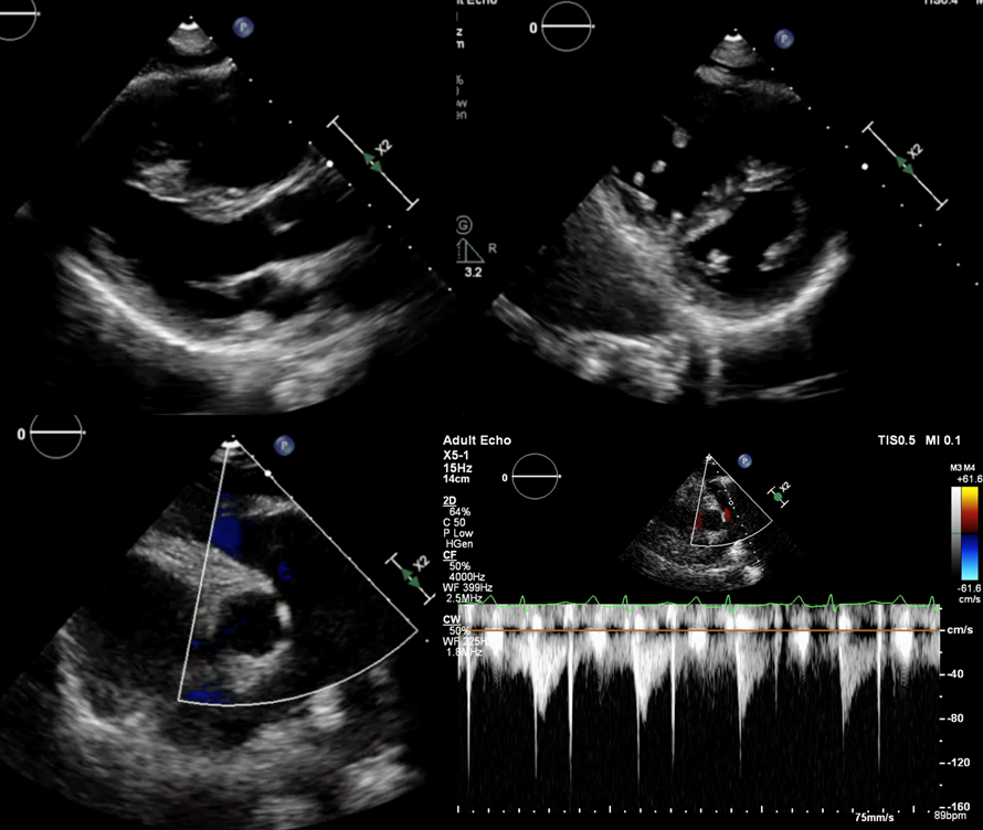
SaÄŸ kalp boÅŸluklarında dilatasyon saptanan hastanın saÄŸ atriyum (RA) alanı: 22.5 cm². TAPSE ve S ’ dalgası azalmış olan hastada, triküspit yetersizliÄŸi ileri olarak deÄŸerlendirildi ve TY velositesi 4.3 m/s ölçüldü. İnferiyor vena kava (IVC): 25 mm olup, solunumla ile kollabe olmamaktaydı. sPAP: 75 + 15 = 90 mmHg olarak hesaplandı (Åžekil 3.). Transözofageal ekokardiyografide intrakardiyak ÅŸant saptanmazken, tüm pulmoner venlerin sol atriyuma döküldüğü görüldü.

 

Åžekil 3.

Hastanın tüm ekokardiyografik parametreleri yüksek olasılıklı pulmoner hipertansiyon (PH) ile uyumluydu ve hastaya ileri değerlendirme amacıyla sağ kalp kateterizasyonu (SKK) planlandı. SKK öncesinde göğüs hastalıkları ve romatoloji ile konsülte edilenen hastada herhangi bir patoloji saptanmadı. Ventilasyon/perfüzyon sintigrafisi yapılan hastada mismatch görülmedi. Portal hipertansiyon ekartasyonu açısından batın ultrasonu yapıldı, ek patoloji saptanmadı.

SKK’da pulmoner arter basıncı (PAP): 90/48/64 mmHg, pulmoner vasküler direnç (PVR): 16 Woods Ünite, pulmoner arter uç basıncı (PAWP): 7 mmHg olarak ölçüldü ve hastaya prekapiller PH tanısı kondu. Olası diÄŸer prekapiller PH etyolojileri dışlandıktan sonra hasta idiyopatik pulmoner arteriyel hipertansiyon (İPAH) tanısı aldı. RA basıncı (RAP): 11 mmHg, mikst venöz satürasyon (SvOâ‚‚): %65 olup 2015 ESC/ERS Pulmoner Hipertansiyon kılavuzuna göre orta risk kategorisindeyken, kardiyak indeks (CI): 1.73 L/dk/m² ile yüksek riski göstermekteydi. NYHA IV olan ve risk sınıflamasına göre yüksek riskli olan hastaya intravenöz iloprost ve masitentan tedavisi baÅŸlandı. Diüretik tedavisi düzenlenen hastanın takiplerinde nefes darlığı geriledi, NYHA II-III oldu. Hasta masitentan 10 mg 1x1 tedavisi ile taburcu edildi.

İlk kontrolünde fonksiyonel sınıfı II-III olan hastanın sağ yetmezlik bulguları gerilemişti, hasta hiç senkop tariflemedi. 6 dakika yürüme mesafesi (6DYM) 310 metreye ilerlemesine rağmen hala orta risk kategorisindeydi. NT-proBNP: 2095 pg/ml olup yüksek risk kategorisindeydi. Hastanın perikardiyal sıvısı bulunmamakla birlikte RA alanı 22 cm² olup orta riski işaret etmekti. Hedef hastayı düşük riskte tutmak olduğundan masitentan 10 mg 1x1 tedavisine, sildenafil 20 mg 3x1 eklendi.

Takiplerinde fonksiyonel sınıf I olan ve saÄŸ kalp yetmezliÄŸi semptomları olmayan hastanın 6DYM: 475 m yükseldi. Hastanın NT-proBNP: 1587 pg/ml olup yüksek risk ve RA alanı 21 cm² olup orta risk kategorisindeydi. Hastanın hemodinamik durumunu daha iyi deÄŸerlendirmek ve risk parametrelerini daha iyi gözlemlemek amacıyla kontrol SKK planlandı. Kontrol SKK’da PAP: 88/35/57 mmHg, PVR: 16 WU, PCWP: 10 mmHg saptandı. CI: 1.39 L/dk/m² ve SvOâ‚‚: %56 yüksek riski, RAP: 11mmHg orta riski iÅŸaret etmekteydi. Hastanın orta ve yüksek risk parametrelerinin olması nedeniyle mevcut tedavisine seleksipag eklenerek üçlü kombinasyon tedavisine geçildi. Takiplerinde fonksiyonel sınıfı I olan hastanın 6DYM: 560 metreye ilerledi. NT-proBNP: 1058 pg/ml olup takipleri boyunca ilk defa orta risk grubuna geriledi. Hasta üçlü kombinasyon tedavi altında yakın takip edilmektedir.

Sonuç
 İPAH ilerleyici ve yaşamı tehdit eden bir hastalıktır. Tanı alan hastalarda ilk yapılması gereken, risk değerlendirmesi ve ona göre ilaç tedavisinin belirlenmesidir. Primer hedef hastayı düşük risk kategorisine getirmek ve takipleri boyunca bu kategoride tutmaktır. Düşük risk kategorisi dışında geçirilen her sürenin mortaliteye olumsuz etkisi olduğu bilinmektedir. Risk değerlendirmesi yaparken kılavuzlarda ve çeşitli kayıt çalışmalarında kullanılan parametreler ile detaylı incelemeler yapılmalıdır. Özellikle tedavi yanıtının değerlendirilmesinde ya da klinik kötüleşme veya beklenen tedavi yanıtının alınamadığı hastalarda risk değerlendirilmesinde mutlaka invaziv parametrelerin de kullanılması gerekliliğinin altı çizilmelidir. Tüm bu değerlendirmelerin sonunda asıl amaç olan düşük risk kategorisine ulaşabilmek için vakit kaybetmeden kombinasyon tedavilerine geçilmelidir. Parenteral tedavi ve transplant seçenekleri akılda tutulmadır.



2--5

 2025 © Bu sitenin tüm haklary Türk Kardiyoloji Derne?ine aittir.