PH Gündem Yıl: 2022 Sayı: 2


Pulmoner Vasküler ve Eriþkin Doðumsal Kalp Hastalýklarý Çalýþma Grubu
Yönetim Kurulu


Baþkan:
Prof. Dr. Bahri Akdeniz

Y.K. adýna Koordinatör:
Dr. Dursun Aras

Y.K. adýna Koordinatör:
Dr. Bülent Mutlu

Üyeler
Halil Ataþ
Mehmet Kaplan
Ergün Barýþ Kaya
Murat Meriç
Gülten Aydoðdu Taçoy

Katkıda Bulunanlar:
Dr. Pelin Ayyıldız
Dr. Ümit Bulut
Dr. Alper Güzeltaş
Dr. Serkan Kahraman
Dr. Begüm Uygur
Dr. Mustafa Yıldız
Dr. Kadriye Memiç Sancar




2--52--5

PH Gündem - Olgu Sunumu (Dr. Pelin Ayyıldız, Dr. Alper Güzeltaş)Olgu Sunumu

Dr. Pelin Ayyıldız, Dr. Alper Güzeltaş

SBÜ Mehmet Akif Ersoy Göğüs Kalp ve Damar Cerrahici Eğitim ve Araştırma Hastanesi
Pediyatrik Kardiyoloji KliniÄŸi

17 yaşında kadın hasta, çabuk yorulma giderek artan halsizlik şikayeti ile polikliniğimize başvurdu. Yapılan fizik muayenesinde kalp hızı 102/dk, ritmik, kan basıncı 120/70 mmHg, saturasyonu % 95, S2 sert, ral, ronküs, pretibial ödem yok, karaciğer ele gelmiyordu. EKG de 110/dk, sinüs ritmi, sağ aks mevcuttu. Fonksiyonel sınıfı NYHA-3  ve 6 dakika yürüme mesafesi (6DYM) 300 m olarak saptandı. Kan parametreleri normal sınırlarda idi.

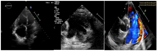
Etyolojiyi tespit etmek, intrakardiyak şantları ve RV fonksiyonlarını değerlendirmek, pulmoner arter basıncını (PAP) belirlemek, eşlik eden ve katkıda bulunan faktörleri saptamak için yapılan transtorasik ekokardiyografisinde; 4 boşluk ve kısa eksen görüntülerde sağ kap boşluklarının geniş olduğu, ventriküler septumun sola şift yaptığı, sistolde daha belirgin olmak üzere D-shaped görünüm olduğu, TAPSE normal sınırlarda olduğu, pulmoner arterin geniş olduğu (30mm) izlendi. Kısa eksen ve suprasternal çalışmalarda geniş bir patent duktus arteriyozus varlığı saptandı, 2 yönlü şant mevcuttu ve  pulmoner arter basıncı sistemik idi (Şekil 1, 2, 3).

Åžekil 1, 2, 3

Ardından hastaya sağ kalp kateterizasyonu yapıldı. PAP 84/53, ortalama 60 mmHg, aort basıncı 98/63, ortalama 75mmHg idi. Pulmoner vasküler rezistans (PVR) 18.2 w.u.m2,  PVR/SVR:0.64 olarak hesaplandı. Yapılan vazoreaktivite testinde (AVT) PAP 88/56, ortalama 63 mmHg, aort basıncı 100/64, ortalama 77mmHg, PVR:14.6, PVR/SVR:0.50 olarak saptandı.
Pulmoner hipertansiyon konseyinde PVR ve Pulmoner arter sistolik basıncı sistemik değerlerin 2/3 den fazla olan, PVRi >8 w.u.m2 olan hastada şantın kapatılmasının uygun olmadığı düşünüldü ve hastaya anti-PH tedavi (ERA ve PDE5i) başlandı.

Åžekil 4

6 ay sonra yapılan ekokardiyografik değerlendirmede iki yönlü olan PDA şantının sol sağ ve türbülan olduğu görüldü (Şekil 4). Hastanın tekrarlanan hemodinamik değerlendirmesinde PAP 86/43, ortalama 62 mmHg, aort basıncı 116/64, ortalama 76mmHg idi. PVR 8.6 w.u.m2,  PVR/SVR:0.38 olarak hesaplandı. NO ile yapılan AVT sonucunda, PAP:73/33 ortalama 53mmHg, aort basıncı 118/64 ortalama 77mmHg, PVRi:3.8, PVR/SVR:0.15 olduğu görüldü. Hastanın yapılan balon oklüzyon testinde de PAP ın sistolik 50 mmHg ortalama 32 mmHg ya düştüğü görüldü.
Tekrar pulmoner hipertansiyon konseyinde tartışılan AVT sonrası PVRi >%20 düşüş ile  <6 w.u.m2 olması ve PVRi/SVRi <0.3 (modifiye Barst kriterleri 2016, cologne consensus 2018) olan hastanın şantının kapatılmasının uygun olduğu düşünüldü, fenestre cihaz ile duktus kapatıldı ve antiPH tedavisine devam edildi.

Hastanın 1, 3, 6 aylık değerlendirmelerinde semptomu yoktu, NYHA 2 ve 6 DYT de mesafesi 540m idi. Ekokardiyografik değerlendirmede triküspit yetersizliği yolu ile hesaplanan sağ ventrikül sistolik basıncı 40 mmHg, ortalama PAP 22 mmHg idi. Birinci yıl değerlendirmesi sonrası takiplerine gelmeyen hastanın, ilaçları kestiği evlendiği ve doğum yaptığı, 3 yıl sonra nefes darlığı ve efor kapasitesinde azalma nedeniyle yaptığı başvurusu sonrası öğrenildi. Ekokardiyografik değerlendirmesinde rezidü önemli PH sı olan hastanın, cihaz içindeki fenestrasyonun kapandığı görüldü.  NYHA 3 hastanın tedavisi dış merkezde önce ERA+ PDE5i olarak düzenlenmiş ve inhale iloprost eklenmişti.

SONUÇ
Soldan sağa şantlı konjenital kalp hastalığı (KKH) olan vakalarda düzeltme işleminin mümkünse 6 aydan önce yapılması, geç tanı almış ya da geç müdahale edilebilen vakalarda, şant kapatma kararı verirken hemodinamik çalışma uygun olsa ve tüm operabilite kriterleri karşılansa da pulmoner hipertansiyonun persistan olabileceği akılda tutularak şantı delikli bir cihaz ile kapatmak ya da ameliyat sırasında küçük bir şanta izin vermek, belki de geç tanı alan şantı olan KKH vakaları kapatmamayı düşünmek gerekmektedir. Bu hastalarda işlem sonrası tüm ölçümler ve değerlendirmeler normal olsa da anti-PH tedaviye devam etmek ve yakın takip etmek doğru bir yaklaşım olacaktır.



2--5

 2025 © Bu sitenin tüm haklary Türk Kardiyoloji Derne?ine aittir.